Anatomy
BONE DRs provides urgent fracture and trauma care across four Central Texas locations in Austin, San Marcos, Bastrop, and Round Rock. Our board-certified orthopedic surgeons and trauma specialists treat broken bones, dislocations, and acute orthopedic injuries.
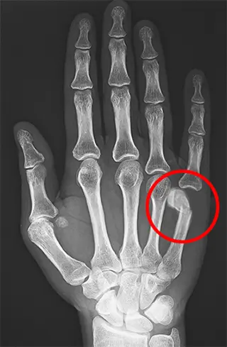
A Bone Fracture
A bone fracture is a medical condition in which a bone is cracked or broken. It is a break in the continuity of the bone. While many fractures are the result of high-force impact or stress, bone fractures can also occur because of certain medical conditions that weaken the bones, such as osteoporosis.
A fracture may be complete or partial and is commonly caused by trauma due to a fall, motor vehicle accident or sports injury. Thinning of the bone due to osteoporosis in the elderly can also cause bones to break easily. Overuse injuries are a common cause of stress fractures in athletes.
Types of fractures
Simple fracture: The fractured pieces of bone are well aligned and stable
Unstable fracture- the fragments of the broken bone are misaligned and displaced
Open (compound) fracture: A severe fracture in which the broken bones protrude through the skin. This type of fracture is more prone to infection and requires immediate medical attention.
Greenstick fracture: A fracture unique to children, where one side of the bone is broken while the other is bent
Fracture Healing
Our body reacts to a fracture by protecting the injured area with a blood clot and callus or fibrous tissue. Bone cells begin forming on either side of the fracture line. These cells grow towards each other and eventually close the fracture.
Medical Therapy
The objective of early fracture management is to control bleeding, prevent ischemic injury (bone death) and to remove sources of infection such as foreign bodies and dead tissues. The next step is the reduction of the fracture and its maintenance. It is important to ensure that the involved part of the body returns to its function after the fracture heals. To achieve this, fracture reduction and immobilization are achieved by either a non-operative or surgical method.
Non-operative (closed) therapy uses casting and traction (skin and skeletal traction).
Casting
This is done for any fracture that is displaced, shortened, or angulated. Splints and casts are made of fiberglass or Plaster of Paris (POP) and are used to immobilize the limb.
Traction
This method is used for fractures and dislocations that cannot be treated by casting. There are two methods of traction: skin traction and skeletal traction.
Skin traction involves attachment of traction tapes to the skin of the limb segment below the fracture. In skeletal traction, a pin is inserted through the bone and attached to ropes. Weights are applied, and the patient is placed in a traction apparatus. This method is commonly used for fractures of long bones.
Surgical Therapy
Open Reduction and Internal Fixation (ORIF)
This is a surgical procedure in which the fracture site is exposed while a reduction of the fracture is done. Internal fixation is done with wires, plates, screws, and nails.
External fixation
This is a procedure in which the fracture stabilization is done outside the body using rods screwed into the bone above and below the fracture that exit the body and are attached to a stabilizer device that may be adjusted. It helps to maintain bone length and alignment without casting.
External fixation is performed in the following conditions:
- Open fractures with soft-tissue involvement
- Burns and soft tissue injuries
- Pelvic fractures
- Comminuted (shattered) and unstable fractures
- Fractures having bony deficits
- Limb-lengthening procedures
Fractures with infection or non-union (fails to heal)
Rehabilitation
Fractures may take several weeks to months to heal completely. You should limit your activities even after the removal of the cast or brace so the bone becomes solid enough to bear stress. Rehabilitation programs involve exercises and a gradual increase in activity levels until the process of healing is complete.
Conditions

Stress Fractures of the Hip

Stress Fracture of the Tibia

Clavicle Fracture

Fractures of the Hand and Fingers

Patella Fracture

Shoulder Fracture

Elbow Fractures

Scaphoid Fracture

Boxer’s Fracture

Jones Fracture Surgery
Procedures

Shoulder Fracture Care

Wrist Fracture Surgery
FAQs
For severe fractures with significant bleeding, deformity, or if you can’t move the limb, go to the emergency room first. For less severe fractures, call us at 512-266-3377 — we can often accommodate urgent appointments depending on provider availability and location.
Physical examination by a specialist can often suggest a break based on pain location, swelling, deformity, and loss of function. However, X-rays confirm the diagnosis and show exactly how the bone is broken, which is essential for planning the right treatment.
It depends on the type of fracture, its location, and your age and health — some heal well with casting or bracing alone, while others need surgery. Your trauma specialist will discuss which approach gives you the best chance of healing properly and regaining full function.
Healing time varies depending on the type and severity of the fracture. Your specialist will give you a specific recovery timeline and activity restrictions based on your individual injury and progress.
While primary care doctors can manage simple fractures, complex breaks benefit from specialist management, especially those needing surgery or careful alignment monitoring. Our trauma specialists can ensure optimal healing and outcomes.
Most fractures benefit from physical therapy to regain strength, motion, and confidence in using the injured area again. Starting therapy as soon as the doctor clears it helps prevent stiffness and weakness and gets you back to normal activities faster.
BONE DRs provides urgent fracture and trauma care across four Central Texas locations in Austin, San Marcos, Bastrop, and Round Rock. Our board-certified orthopedic surgeons and trauma specialists treat broken bones, dislocations, and acute orthopedic injuries.
A Bone Fracture
A bone fracture is a medical condition in which a bone is cracked or broken. It is a break in the continuity of the bone. While many fractures are the result of high-force impact or stress, bone fractures can also occur because of certain medical conditions that weaken the bones, such as osteoporosis.
A fracture may be complete or partial and is commonly caused by trauma due to a fall, motor vehicle accident or sports injury. Thinning of the bone due to osteoporosis in the elderly can also cause bones to break easily. Overuse injuries are a common cause of stress fractures in athletes.
Types of fractures
Simple fracture: The fractured pieces of bone are well aligned and stable
Unstable fracture- the fragments of the broken bone are misaligned and displaced
Open (compound) fracture: A severe fracture in which the broken bones protrude through the skin. This type of fracture is more prone to infection and requires immediate medical attention.
Greenstick fracture: A fracture unique to children, where one side of the bone is broken while the other is bent
Fracture Healing
Our body reacts to a fracture by protecting the injured area with a blood clot and callus or fibrous tissue. Bone cells begin forming on either side of the fracture line. These cells grow towards each other and eventually close the fracture.
Medical Therapy
The objective of early fracture management is to control bleeding, prevent ischemic injury (bone death) and to remove sources of infection such as foreign bodies and dead tissues. The next step is the reduction of the fracture and its maintenance. It is important to ensure that the involved part of the body returns to its function after the fracture heals. To achieve this, fracture reduction and immobilization are achieved by either a non-operative or surgical method.
Non-operative (closed) therapy uses casting and traction (skin and skeletal traction).
Casting
This is done for any fracture that is displaced, shortened, or angulated. Splints and casts are made of fiberglass or Plaster of Paris (POP) and are used to immobilize the limb.
Traction
This method is used for fractures and dislocations that cannot be treated by casting. There are two methods of traction: skin traction and skeletal traction.
Skin traction involves attachment of traction tapes to the skin of the limb segment below the fracture. In skeletal traction, a pin is inserted through the bone and attached to ropes. Weights are applied, and the patient is placed in a traction apparatus. This method is commonly used for fractures of long bones.
Surgical Therapy
Open Reduction and Internal Fixation (ORIF)
This is a surgical procedure in which the fracture site is exposed while a reduction of the fracture is done. Internal fixation is done with wires, plates, screws, and nails.
External fixation
This is a procedure in which the fracture stabilization is done outside the body using rods screwed into the bone above and below the fracture that exit the body and are attached to a stabilizer device that may be adjusted. It helps to maintain bone length and alignment without casting.
External fixation is performed in the following conditions:
- Open fractures with soft-tissue involvement
- Burns and soft tissue injuries
- Pelvic fractures
- Comminuted (shattered) and unstable fractures
- Fractures having bony deficits
- Limb-lengthening procedures
Fractures with infection or non-union (fails to heal)
Rehabilitation
Fractures may take several weeks to months to heal completely. You should limit your activities even after the removal of the cast or brace so the bone becomes solid enough to bear stress. Rehabilitation programs involve exercises and a gradual increase in activity levels until the process of healing is complete.

Shoulder Fracture Care

Wrist Fracture Surgery
FAQs
For severe fractures with significant bleeding, deformity, or if you can’t move the limb, go to the emergency room first. For less severe fractures, call us at 512-266-3377 — we can often accommodate urgent appointments depending on provider availability and location.
Physical examination by a specialist can often suggest a break based on pain location, swelling, deformity, and loss of function. However, X-rays confirm the diagnosis and show exactly how the bone is broken, which is essential for planning the right treatment.
It depends on the type of fracture, its location, and your age and health — some heal well with casting or bracing alone, while others need surgery. Your trauma specialist will discuss which approach gives you the best chance of healing properly and regaining full function.
Healing time varies depending on the type and severity of the fracture. Your specialist will give you a specific recovery timeline and activity restrictions based on your individual injury and progress.
While primary care doctors can manage simple fractures, complex breaks benefit from specialist management, especially those needing surgery or careful alignment monitoring. Our trauma specialists can ensure optimal healing and outcomes.
Most fractures benefit from physical therapy to regain strength, motion, and confidence in using the injured area again. Starting therapy as soon as the doctor clears it helps prevent stiffness and weakness and gets you back to normal activities faster.
Schedule An Appointment









