
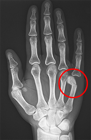
What is a Boxer’s Fracture?
A boxer’s fracture is a break in the neck of the fifth metacarpal bone of the hand (below the pinky finger) close to the knuckle. The hand is composed of 3 types of bones: carpal or wrist bones, metacarpals or long hand bones, and phalanges or finger bones. Metacarpals consist of five long bones that connect the carpal with the phalanges. Structurally, metacarpal bones can be divided into four parts: base, shaft, neck, and head. In some cases, the broken bone can protrude through the skin and is called an open fracture.

Risk Factors
A boxer’s fracture is usually caused by punching a hard surface while your hand is clenched into a fist, hence the name. Other risk factors include:
- Trauma
- Contact sports
- A fall on an outstretched arm
- Violent twisting of the arm
- Medical conditions that weaken your bones
Symptoms
The symptoms of a boxer’s fracture can include:
- Little finger looks bent and out of alignment
- Feeling of a tingling sensation
- Area around the little finger feels numb and cold
- Pain, swelling and bruising (blue) on the outer side of the hand
- Limited range of motion of the hand
- Difficulty forming a fist
What Happens if a Boxer’s Fracture is Left Untreated?
An untreated boxer’s fracture can cause an abnormal looking finger and hand. Gradually, you may experience a decreased ability to grip.
Diagnosis
- Your doctor will assess your symptoms and take a medical history.
- Physical examination of the hand will be performed by looking for signs such as:
- Breaks in the skin
- A bump below the little finger
- Deformed appearing knuckle
- Different shape of your hand at its outer side
- Imaging studies such as X-ray, MRI or CT-scan will be ordered to confirm the diagnosis.
Treatment
Treatment of a boxer’s fracture depends on the severity of the fracture. Your treatment plan may include:
- Taking a combination of non-steroidal anti-inflammatory drugs (NSAIDs) and opioids to manage pain
- Avoiding activities that trigger symptoms
- Applying ice packs over a towel to the area to reduce swelling and pain
- Elevating your hand above the heart level
- Getting a tetanus shot, if necessary
- Casting or splinting to immobilize the hand for a few weeks
- Physical therapy to regain strength and regain mobility
Surgery may be recommended if you do not respond to conservative treatment options. Stabilization of the fractured bone will be achieved by using small pins. Surgery is followed by rest, use of a hand splint and physical therapy to enhance flexibility, range of motion and strength.
Other Hand/Wrist Conditions
Schedule An Appointment








